
Descoberta pode levar a avanços clínicos que beneficiarão tanto gatos como seres humanos
Foto: Pedro Correia
Os gatos desenvolvem demência de uma forma semelhante às pessoas com Alzheimer, de acordo com um novo estudo, que gera esperanças de um avanço na investigação.
Especialistas da Universidade de Edimburgo realizaram um exame "post-mortem" aos cérebros de 25 gatos que apresentavam sintomas de demência em vida, nomeadamente confusão, distúrbios do sono e aumento da vocalização. Os investigadores descobriram uma acumulação de beta-amiloide, uma proteína tóxica que desempenha um papel central na doença de Alzheimer. O estudo, financiado por institutos de investigação britânicos, foi publicado na terça-feira, no "European Journal of Neuroscience".
"A demência é uma doença devastadora, não importa se afeta humanos, gatos ou cães. As nossas descobertas destacam as semelhanças impressionantes entre a demência felina e a doença de Alzheimer em humanos", constatou Robert McGeachan, autor principal da investigação realizada pela Escola de Estudos Veterinários da Universidade de Edimburgo.
Segundo o estudo, imagens microscópicas de gatos mais velhos que já haviam apresentado sintomas de demência felina revelaram que a proteína beta-amiloide se acumulava dentro das sinapses - as junções das células cerebrais, que permitem o fluxo de mensagens. A sua perda causa redução da memória e da capacidade de pensamento em humanos com Alzheimer.

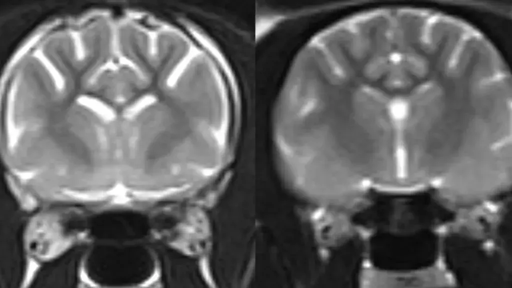
Foto: Universidade de Edimburgo
As áreas claras na imagem de ressonância magnética à esquerda, relativa a um gato vivo com demência, mostram mais perda de tecido cerebral em comparação com as da imagem direita, relativa a um cérebro felino normal.
A equipa académica acredita que a descoberta ajudará a comunidade científica a aprofundar o estudo da demência em pessoas, explorando novos tratamentos tanto para seres humanos como para os seus animais de estimação. "A demência felina é muito angustiante para o gato e para o dono", considerou Danielle Gunn-Moore, especialista em medicina felina e também autora do estudo, defendendo que estudos como este permitem avançar clinicamente.

