
Leonel de Castro /Global Imagens
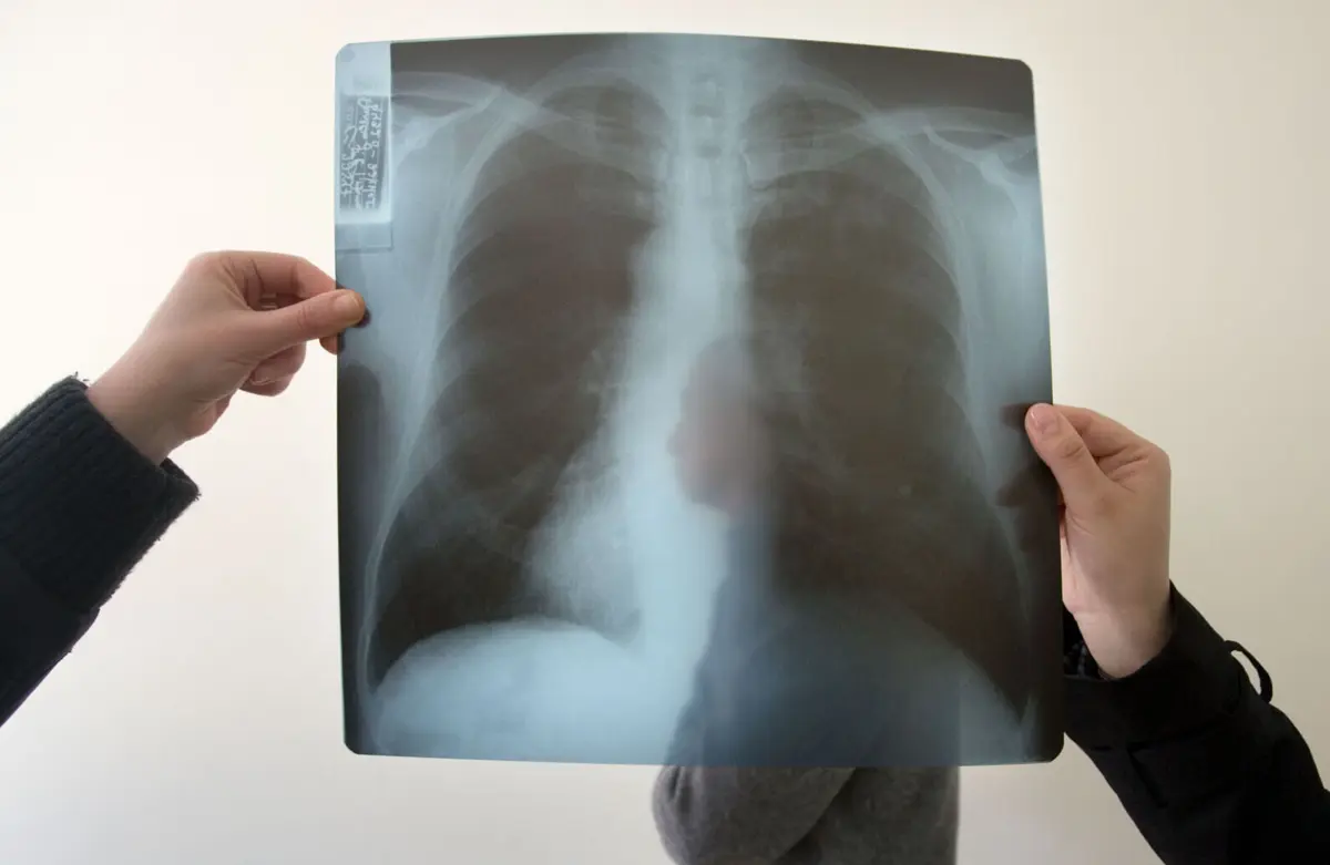
Há máquinas de radiologia que têm mais de 30 anos e as películas são cada vez mais escassas no mercado. Falhas centram-se nas regiões Centro e Lisboa.
Há aparelhos de radiologia ao serviço de unidades de saúde que são demasiado antigos e em que, muitas vezes, falta material para trabalhar com eles, o que coloca em risco muitos exames. Esta é uma situação que se vive há décadas em, pelo menos, 18 serviços do país que pertencem à Administração Regional de Saúde (ARS) do Centro e à ARS de Lisboa e Vale do Tejo.
Acesso exclusivo a assinantes
Já é assinante? Inicie sessão
Acesso ilimitado a conteúdos exclusivos
Navegação sem publicidade intrusiva
Versão digital do jornal, suplementos e revistas
