
Chinês de 37 anos ficou doente por ter o hábito de cheirar as suas próprias meias sujas.
Corpo do artigo
Um homem de 37 anos, da cidade de Chongqing, na China, foi internado com uma grave infeção pulmonar após desenvolver o hábito diário de cheirar as suas meias sujas ao final de cada dia.
O paciente procurou ajuda médica devido a uma tosse persistente que não melhorava com o uso de xaropes, além de crises que afetavam o sono e lhe irritavam os olhos.
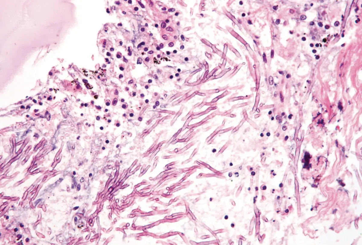
Os exames revelaram uma inflamação na parte inferior do pulmão direito, e uma broncoscopia confirmou o diagnóstico de aspergilose, uma infeção fúngica causada pelo fungo Aspergillus.
Durante a investigação clínica, os médicos descobriram o hábito do paciente de cheirar as próprias meias usadas e decidiram testar o tecido.
A análise confirmou a presença do mesmo fungo nos tecidos das peças de roupa. As meias suadas criam um ambiente propício para a proliferação do Aspergillus, e a inalação pode causar infeções respiratórias, especialmente em pessoas com sistema imunológico comprometido.
Após o diagnóstico, o paciente foi tratado com medicamentos antifúngicos e está em recuperação.
